The Arrector Pili Muscle Causes
Arrector pili muscle
The arrector pili muscles are small muscles attached to hair follicles in mammals. Contraction of these muscles causes the hairs to stand up on finish, [ane] known colloquially as goose bumps.
| Arrector pili muscle | |
|---|---|
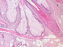
| Base of pilosebaceous unit: An arrector pili muscle tin can be seen as the pink-staining band of tissue at the bottom center and bottom left of paradigm | |
| Details | |
| Nerve | Sympathetic postganglionic nervus fibers |
| Identifiers | |
| Latin | Muscle arrector pili |
| TA | A16.0.00.024 |
| Th | H3.12.00.three.01041 |
| FMA | 67821 |
| Anatomical terms of muscle | |
Each arrector pili is composed of a parcel of smoothen muscle fibres which attach to several follicles (a follicular unit), and is innervated by the sympathetic co-operative of the autonomic nervous system. The wrinkle of the muscle is and so involuntary–stresses such as cold, fear etc. may stimulate the sympathetic nervous system, and thus crusade contraction.
Contraction of the muscles has a number of dissimilar purposes. Its master function in the majority of mammals is to provide insulation: air becomes trapped between the cock hairs, helping the animal retain heat. Erection of the porcupine's long, thick hairs causes the animal to become more intimidating, scaring predators. Pressure exerted past the muscle may cause sebum to exist forced along the hair follicle towards the surface, protecting the pilus.
Additional images
-
-
Cross-section of all skin layers
References
- David H. Cormack (one June 2001). Essential histology. Lippincott Williams & Wilkins. pp.1–. ISBN 978-0-7817-1668-0 . Retrieved fifteen May 2011.
- Myers, P., R. Espinosa, C. S. Parr, T. Jones, G. S. Hammond, and T. A. Dewey. 2006. The Animal Diversity Web; http://animaldiversity.ummz.umich.edu/site/topics/mammal_anatomy/pilus.html
- Burkitt, Immature; et al. (1993). Wheater's Functional Histology: a text and colour atlas. Heath. p.162.
The Arrector Pili Muscle Causes,
Source: http://medbox.iiab.me/kiwix/wikipedia_en_medicine_2019-12/A/Arrector_pili_muscle
Posted by: youngknoble.blogspot.com

0 Response to "The Arrector Pili Muscle Causes"
Post a Comment